Quatre façons d’éliminer les verrues

Titelbild
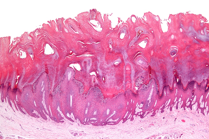
Vue au microscope d’une verrue (verruca vilgaris). (wikimedia)
Von 27 février 2016

Il est scientifiquement prouvé que le virus du papillome humain est à l’origine des verrues. Il touche 80% de la population de la planète. Le système immunitaire ne lui permet pas d’apparaître, mais s’il est affaibli, il y a des verrues.

L’infection par le papillomavirus se produit par contact d’une personne malade à une autre en bonne santé. Le virus pénètre dans les couches de la peau et peut rester inactif de nombreuses années. Il peut être transmis dans divers lieux – les piscines, les poignées de porte, le matériel de bureau, etc.

Aujourd’hui, nous avons repéré plus d’une centaine de types de virus du papillome. Une fois dans le corps, le virus contamine l’épithélium – la couche supérieure de la peau. À travers le sang et la lymphe, il se propage et apparaît souvent sous la forme d’excroissances sur la peau.

La cryochirurgie est sans douleur, il n’y a donc pas besoin d’anesthésie. Elle ne provoque pas de dommages à la peau.

Dans certains cas, la suppression est nécessaire pour des raisons médicales mais souvent elle l’est pour des raisons esthétiques.

Procédés pour éliminer les verrues

La cryochirurgie

Il s’agit d’enlever les verrues avec de l’azote liquide. Au cours de la procédure dans l’intracellulaire et le liquide intercellulaire, la microcirculation est perturbée dans le tissu anormal et les cellules meurent. Cela se traduit par le rejet du tissu pathologique et son remplacement par de nouvelles cellules en bonne santé.

La cryochirurgie est sans douleur, il n’y a donc pas besoin d’anesthésie. Elle ne provoque pas de dommages à la peau ou de saignements. Cela prend de 5 secondes à 3 minutes.

L’électrocoagulation

Cette méthode chirurgicale est basée sur la cautérisation des tissus malades avec un courant alternatif à haute fréquence. Lorsque la coagulation des tissus pathologiques se fait sous l’influence de températures élevées, leur mort est irréversible. Une fois la peau infectée éliminée, une peau saine apparaît.

La biorésonance

Elle se base sur l’incidence des vibrations biomagnétiques sur le corps humain. Le traitement tue les bactéries et les virus nuisibles, y compris le virus du papillome humain, ce qui tue aussi les verrues.

La coagulation au laser

La procédure d’élimination des verrues au laser est courte, puisqu’elle prend 3 minutes tout au plus. Un anesthésique local est appliqué sur la verrue et le faisceau laser brûle la verrue couche par couche. À l’aide de cette méthode, la verrue est enlevée avec la racine, il n’y a donc pas de récidive.



Kommentare
Liebe Leser,

vielen Dank, dass Sie unseren Kommentar-Bereich nutzen.

Bitte verzichten Sie auf Unterstellungen, Schimpfworte, aggressive Formulierungen und Werbe-Links. Solche Kommentare werden wir nicht veröffentlichen. Dies umfasst ebenso abschweifende Kommentare, die keinen konkreten Bezug zum jeweiligen Artikel haben. Viele Kommentare waren bisher schon anregend und auf die Themen bezogen. Wir bitten Sie um eine Qualität, die den Artikeln entspricht, so haben wir alle etwas davon.

Da wir die Verantwortung für jeden veröffentlichten Kommentar tragen, geben wir Kommentare erst nach einer Prüfung frei. Je nach Aufkommen kann es deswegen zu zeitlichen Verzögerungen kommen.


Ihre Epoch Times - Redaktion